Después de terminada la Segunda Guerra Mundial, una segunda ola de terror se esparció por el mundo, en particular en los países desarrollados. La primera, por supuesto, era la amenaza nuclear. La perspectiva de extinción se cernía sobre toda la humanidad. En segundo lugar, una enfermedad estaba matando cruelmente y si no lo hacía, dejaba paralíticas a las personas. Así lo comprobaban las encuestas que se hicieron en Norteamérica. No importaba que se practicaran las más completas reglas de limpieza e higiene, aparecía de repente y podía afectar a cualquiera, pero con preferencia a niños de clase media y adinerada. En los Estados Unidos, un presidente, Franklyn Delano Roosevelt, había contraído la enfermedad a los 39 años y quedado sus piernas paralizadas para siempre.
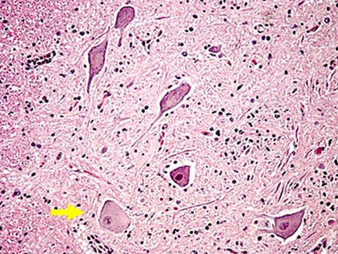
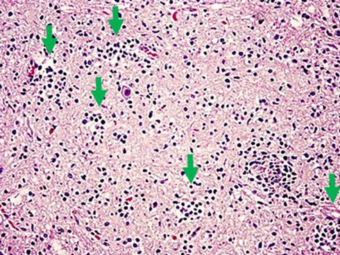
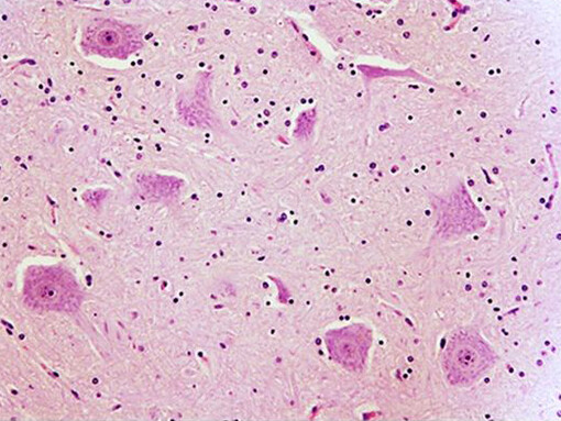
Se presentaron varias olas epidémicas en muchos países en la década de los cuarenta y cincuenta. La enfermedad aparecía de repente y podía enfermar a niños con manifestaciones leves o bien de gravedad, con parálisis respiratoria que los llevaba a la muerte. La mayoría de los contactos, incluso los más cercanos como hermanos o demás familiares de la víctima, no contraían la enfermedad, causando dudas e incredulidad. Se desconocían los mecanismos de transmisión y toda clase de hipótesis surgían para tratar de explicar los mecanismos de contagio. Había terror en las ciudades cuando se sabía que una epidemia estaba cursando.
A pesar de que la incidencia de la enfermedad era baja, había sustituido en preocupación y temor a la viruela en el siglo XX, la cual a través de toda la historia había causado millones de muertes. También a las enfermedades de los niños como la difteria, tosferina e incluso a la tuberculosis, que todavía en los primeros 50 años del siglo, no tenía tratamiento. Además, había un elemento nuevo que ayudaba a incrementar su popularidad. Coincidía con «la eclosión de los medios de comunicación, lo que la convierte en la enfermedad más relatada y fotografiada» (Tuells J., Aristegui J.).
No es de extrañar entonces que sea en los Estados Unidos en donde comiencen los mayores esfuerzos para encontrarle solución al problema que estaba causando esta enfermedad. En primer lugar, se imponía la necesidad de obtener recursos. Se crea entonces la Fundación Nacional para la Parálisis Infantil (NFIP, siglas en inglés), que organiza un programa nacional denominado la marcha de los diez centavos (The march of dimes) que obtiene una gran acogida entre millones de personas y que, incluso, llega a ser tan popular, como para suplantar el nombre original de la fundación. Se dispone entonces de recursos para atender a los pacientes paralíticos en hospitales y centros de rehabilitación, así como también para apoyar la investigación que se estaba realizando en los laboratorios de los grandes centros universitarios. En los años cuarenta, la Fundación llegó a recaudar más de 20 millones de dólares por año, lo cual era una gran fortuna para la época. Grandes celebridades como el actor Mickey Rooney, Walt Disney con su Mickey Mouse y hasta Elvis Presley, más adelante en los años cincuenta, participaban en las grandes campañas que se realizaban. Así, la poliomielitis estaba siendo enfrentada fieramente por muchos investigadores y entre ellos estaba nuestro personaje, el Dr. Jonas Salk, un profesor de microbiología de la universidad de Pittsburg.
Los primeros años
Pocos meses llevaban los cañones sembrando la muerte durante los inicios de la Primera Guerra Mundial en Europa cuando, en uno de los barrios pobres de Nueva York, nació el 28 de octubre de 1914 un niño que llevó el nombre de Jonas Salk. Sus padres eran descendientes de inmigrantes ruso-judíos. Su progenitor trabajaba modestamente en la industria de la ropa, pero tanto él, como la madre se preocuparon de que sus hijos estudiaran y que, por su esfuerzo, obtuvieran títulos universitarios.
Jonas Salk, con mucho éxito cursó los estudios de secundaria, lo que le permitió, después de graduarse, asistir a la universidad de la ciudad de Nueva York, donde obtuvo una licenciatura en ciencias. Posteriormente, dada su excelencia académica, obtuvo un doctorado en Medicina en la Universidad de Nueva York, en 1939. Luego, realizó dos años de internado en el Hospital Monte Sinaí, donde logró una beca de la Universidad de Michigan, en cuyo lugar tuvo la oportunidad de estudiar el virus de la influenza, bajo la tutela del gran investigador Thomas Francis, que había sido su profesor. Juntos, desarrollaron así una vacuna inactivada en formol contra dicha enfermedad, logrando cosechar los virus en embrión de pollo. En 1947, Salk fue nombrado jefe del laboratorio de investigación de virus de la universidad de Pittsburg. Sus investigaciones sobre el virus de la polio le llevaron a la conclusión de que una vacuna efectiva requería estar compuesta por los tres tipos de poliovirus existentes.
En 1931, Mac Burnet y Mac Namara habían encontrado dos serotipos del poliovirus y Bodian, en 1949, había identificado el tercer serotipo. El problema radicaba en la necesidad de disponer de suficiente material del virus para la producción de una vacuna. La solución la obtuvieron tres grandes investigadores de la universidad de Harvard, los doctores J. F. Enders, T. H. Weller y F. C. Robbins, quienes lograron la manera de cultivar grandes cantidades del virus de la polio, en tejidos no neurales. Habían podido obtener las condiciones apropiadas para la elaboración de una vacuna. Sus investigaciones les ganaron a los tres el premio Nobel de medicina en 1954 (A Science Odyssey).
Los años de éxito
Salk tenía ya vía libre para seguir la investigación. A continuación, empleó formaldehido para destruir al virus, logrando conservar la capacidad antigénica del agente viral, es decir, la posibilidad de formar anticuerpos una vez introducido en un ser humano. Lo hizo en contra de la ortodoxia, que prefería el uso de vacunas con virus vivos atenuados. La ensayó en miles de monos con resultados muy favorables. Estaba ya listo para aplicar la vacuna en seres humanos. En primer lugar, la probó en un niño que ya había tenido polio y se encontraba recuperado. La prueba funcionó. La vacuna produjo anticuerpos. Luego venía una prueba más difícil y peligrosa. Probarla en voluntarios sanos. Entre ellos, se incluyó él mismo, su esposa y sus tres hijos. La prueba resultó exitosa. El siguiente paso fue publicar los resultados de la investigación y lo hizo en la reputada revista The New England Journal of Medicine. El mundo conoció la hazaña. En su patria, hizo el anuncio de las pruebas exitosas en humanos durante una trasmisión por radio que llegó a todo el país, el 26 de marzo del año 1953.
Con rigor histórico debe decirse que no fue la primera vacuna que se aplicó contra la poliomielitis. El primer intento lo realizó Hilary Koprowski, con una vacuna a base de un serotipo de un poliovirus atenuado, que se le aplicó a un niño de 8 años, el 27 de febrero de 1950. El experimento no tuvo éxito y el campo quedo libre para otros investigadores.
A continuación, tenía que ocurrir la aplicación de la vacuna de Salk a gran escala. El ensayo debía ser monumental. Surgieron candidatos para llevarlo a efecto. Entre ellos descollaba la NFIP y el organismo inicial de lo que ahora se conoce como los Centros de Control de Enfermedades de los Estados Unidos (CDC), pero más bien se escogió al reputado epidemiólogo Thomas Francis, del Departamento de Epidemiología de la Escuela de Salud Pública de la Universidad de Michigan, en Ann Arbor, para que lo dirigiera de manera independiente (Tuells, J., Aristegui, J.).
El protocolo fue sumamente complicado. Se trataba de un ensayo preventivo controlado como nunca se había hecho. Francis se involucró en todos los detalles. Para producir la vacuna se necesitaban grandes cantidades de los virus y para ello se requirió la colaboración de los Laboratorios Coonaught de Toronto, Canadá (Kumate, J.). Los alumnos de segundo grado seleccionados de múltiples escuelas de 127 áreas pertenecientes a 33 estados de la Unión, con 1,088,680 alumnos, recibirían la vacuna mientras que los de tercer grado no la recibirían, sirviendo así de testigos o controles. Así podría compararse las tasas de polio aparecidas en ambos grupos. Se trató de un ensayo doble ciego. Cada niño recibiría tres inoculaciones por vía intramuscular en las semanas 0, 1 y 5.
El experimento resultó todo un éxito. La declaración final tenía que ser de una brillantez inusual y se realizó el 12 de abril de 1955, en uno de los auditorios de la Universidad de Michigan. Thomas Francis, como gran coordinador del ensayo tomó la palabra y dijo un discurso. Con grave voz finalizó diciendo: «La vacuna funciona, es segura, efectiva y potente». Esta breve frase quedó inmortalizada. Se autorizó a los laboratorios Lilly, Parke-Davis, Wyeth, Pittman-Moore y Cutter a comercializar la vacuna. Comenzaba así, la era moderna de la evaluación de vacunas y el ensayo determinó los estándares que tendrían que tomar en cuenta las futuras investigaciones en vacunas (Monto, A.).
Francis informó que la vacuna de Salk era efectiva para prevenir la polio paralítica por virus tipo I en un 60-70 % de los casos y del 90 % para los tipos II y III. De repente, Jonas Salk se había convertido en un ídolo mundial. Aparecía en todos los periódicos y revistas del planeta. Su hazaña fue considerada como una de las más grandes proezas en el mundo de la medicina. Se había conquistado a la poliomielitis, la enfermedad que más miedo generaba en todas partes. Fue condecorado por el presidente Eisenhower y se convirtió en el hombre del día. Salk había dejado de ser un desconocido investigador de la Universidad de Pittsburg. Ya había perdido su anonimato. Ahora todo el mundo hablaba de él. Pero no todo fueron sonrisas y halagos. Estaban por venir días amargos.
Pocos días después del discurso de Francis, llegaron al nivel central llamadas alertando que estaban apareciendo niños vacunado con parálisis. Prontamente se determinó que los «casos» habían recibido la vacuna producida por el laboratorio Cutter y ya se habían administrado varios centenares de miles de dicha vacuna en alumnos de primero y segundo grado. Inmediatamente, se paralizó la vacunación y se ordenó una investigación. La misma encontró que 120,000 dosis de la vacuna elaborada en los laboratorios Cutter contenía virus vivos. En total se encontró que 48,000 niños presentaron polio leve (sin parálisis), 51 casos tuvieron la forma paralítica y hubo 5 muertes. También se notificó un brote comunitario que produjo 113 casos con parálisis y otras 5 muertes.
El programa de vacunación se detuvo en todo el país mientras se investigaba lo ocurrido en el laboratorio Cutter. Una vez resuelto el grave problema, se reinició la vacunación en todas partes y, solamente entre 1955 y 1962, se aplicaron 400 millones de dosis. Los resultados no podían ser mejores. En 1952 habían ocurrido 57,000 casos de polio y ya para 1962, apenas se notificaban menos de mil casos.
La polio había sido vencida en los Esta Unidos, así como en muchos otros países, pero todavía sigue presentándose de forma aislada en algunas naciones, ya que no ha sido erradicada de la faz de la tierra, como es el caso de la viruela. La vacuna de Salk al poco tiempo, sería reemplazada por la de Sabin, ya que esta resultó más barata de producir y se administraba por vía oral. Pero debido a que se han presentado casos de polio en los vacunados, en los últimos tiempos la vacuna Salk ha sido empleada preferentemente, recapturando su prestigio.
Su vida personal
Jonas Salk, al día siguiente de graduarse de médico en 1939, se casó con la trabajadora social Donna Lindsay, con la que tuvo tres hijos: Peter, Darrell y Jonatham. Se divorciaron en 1968 y, dos años después, Salk se casó con Francoise Gilot, una pintora francesa, que había sido mujer de Pablo Picasso. Obtuvo numerosas distinciones entre ellas Mención presidencial (1955); Medalla de oro del Congreso (1975); Medalla presidencial de la libertad (1977), pero no se le dio el premio Nobel.
En 1955, recibió una mención presidencial especial del presidente de los Estados Unidos, Dwight D. Eisenhower; se le otorga la Medalla al Servicio Meritorio de la Commonwealth of Pennsylvania. En 1958, es elegido miembro del Salón de la Fama de la Polio, parte del Instituto de Rehabilitación Roosevelt Warm Springs, en Warm Springs, Georgia. En 1975, recibe la Medalla de Oro del Congreso. En 1976, recibe el premio Golden Plate de la Academy of Achievement. En 1977, recibe la Medalla Presidencial de la Libertad por el presidente Jimmy Carter. En 2012, en honor al cumpleaños de Salk, el 24 de octubre fue designado como «El día mundial de la polio».
En 1963, Salk fundó el Instituto Salk de Estudios Biológicos, dedicado a la investigación médica. Preferentemente se ha enfocado al estudio del cáncer, la esclerosis múltiple, el SIDA, el VIH, la enfermedad de Alzheimer, y el envejecimiento, entre otras.
En sus últimos años, Salk le dedicó mucho tiempo al estudio de la filosofía y escribió varios libros, uno de ellos con su hijo Jonatham. Creó su propio medio de filosofar al que llamó «biofilosofía». La muerte le vino por una insuficiencia cardíaca, a la edad de 80 años estando en su casa de La Jolla, California. Nunca quiso patentar su descubrimiento. En una ocasión un célebre entrevistador de la TV norteamericana le preguntó al respecto y su respuesta fue: ¿Puede usted patentar el sol?
Notas
A science Odyssey. Salk produces polio vaccine.
Historia y Cultura. Vida y legado de Jonas Salk, inventor de la vacuna contra la polio.
History. Factual Entertaiment Brand. Things you may know about Jonas Salk and the polio vaccine.
Kumate, J. (2005). Cincuentenario de la vacuna Salk. Boletín Médico del Hospital Infantil de México. Vol. 63. No.4.
Monto, A. S. (1999). Francis Field Trial of Inactivated Poliomyelitis Vaccine: Background and Lessons for Today. Epidemiologic Reviews. Vol. 21-1, pp. 7–23.
Tuells, J., Aristegui, J. Vacuna Salk de polio. El ensayo de campo de Thomas Francis Jr y el incidente Cutter. Revista Vacunas. 2006:7 (3):136-9.















